Загрузка...

  • Эстетическая стоматология в Нашгороде в клинике "Наша Клиника"

    Эстетическая стоматология

    Эстетическая стоматология в стоматологической клинике "Наша Клиника" – это область стоматологии, которая занимается улучшением внешнего вида зубов и улыбки. Она включает в себя различные процедуры, такие как отбеливание зубов, установка виниров, реставрация зубов и коррекция формы зубов. Эстетическая стоматология помогает пациентам добиться красивой и здоровой улыбки, повышая их самооценку и уверенность в себе.

    Эстетическая стоматология также учитывает индивидуальные особенности каждого пациента, предлагая персонализированные решения для создания идеальной улыбки. С помощью современных технологий, таких как цифровое моделирование (Digital Smile Design), врач может заранее показать ожидаемый результат и подобрать оптимальные методы лечения. Это направление сочетает в себе не только красоту, но и функциональность, обеспечивая долговечность и естественность результата.

    Услуги по эстетической стоматологии в городе Нашгороде Нашей области

    Чистка и полировка зубов
    Чистка и полировка зубов

    Чистка и полировка зубов – это важные процедуры в профилактической стоматологии, направленные на поддержание здоровья и эстетики зубов, помогают удалить зубной налет, камень и поверхностные пятна.

    Отбеливание зубов
    Отбеливание зубов

    Отбеливание зубов – это популярная косметическая стоматологическая процедура, направленная на удаление поверхностных и глубоких пятен, а также на осветление цвета зубной эмали. 

    Коррекция десневого контура
    Коррекция десневого контура

    Коррекция десневого контура – это стоматологическая процедура, включающая в себя изменение формы, высоты или объема десневой ткани для создания гармоничного и привлекательного контура вокруг зубов.

    Виниры и люминиры
    Виниры и люминиры

    Виниры и люминиры – это тонкие накладки, которые используются для улучшения внешнего вида зубов, изготавливаются из керамики или композитных материалов и крепятся на переднюю поверхность зубов.

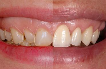
    Эстетическая реставрация зубов
    Эстетическая реставрация зубов

    Эстетическая реставрация зубов – это процедура, направленная на восстановление формы, цвета и функциональности зубов с использованием современных материалов и технологий.

    Художественная реставрация зубов
    Художественная реставрация зубов

    Художественная реставрация зубов – это высокоэстетическая стоматологическая процедура, направленная на создание идеальной улыбки с использованием передовых материалов и технологий.